Dr. Simon Chard
Practice
Treatments
Transformations
Approach
Testimonials
For Dentists
Enquiries
Transformation
Home
/
Transformations
/
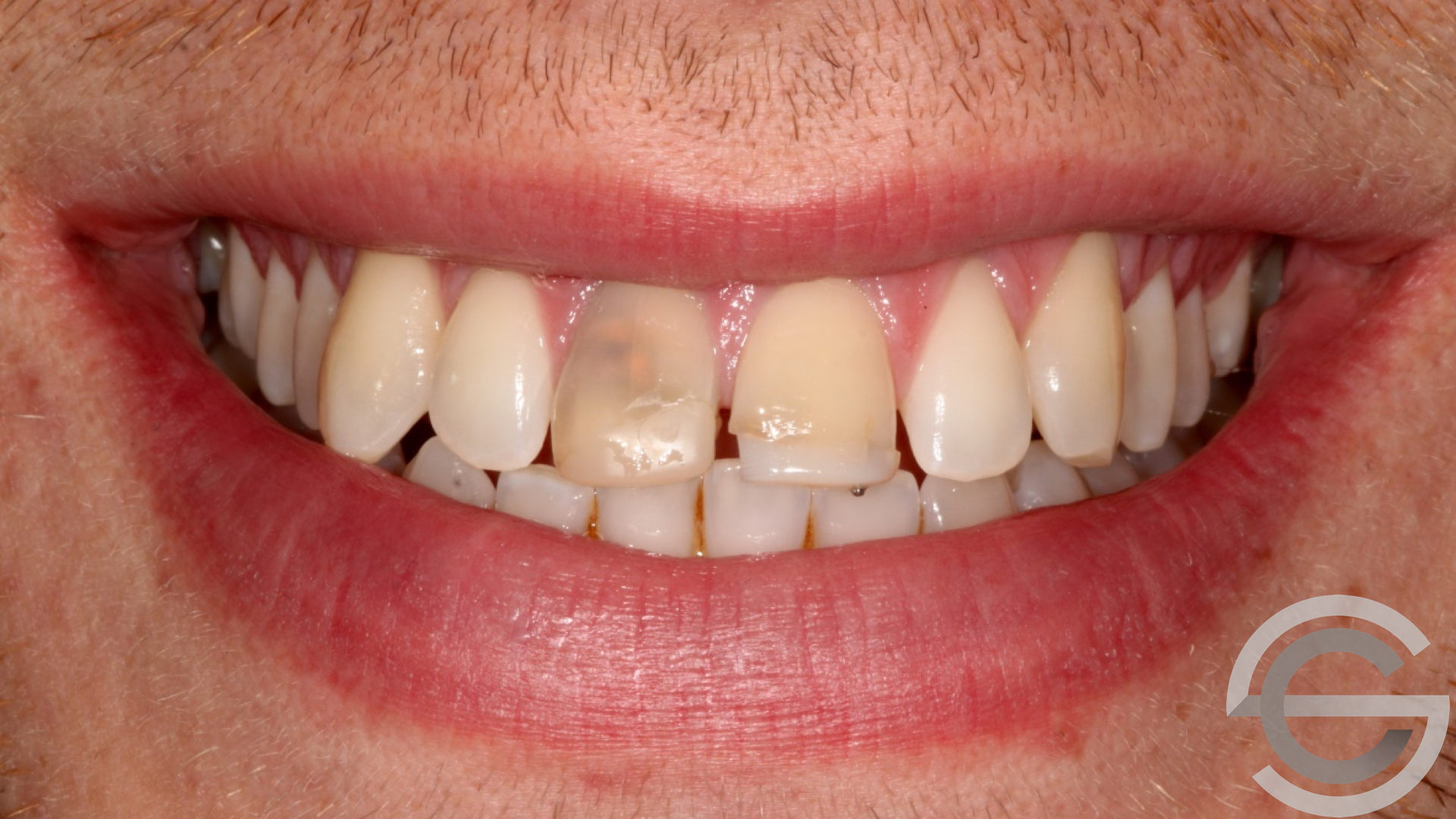
Cosmetic Bonding and inside/outside tooth whitening
All
White Fillings
Composite Bonding
Aesthetic Crowns
Dental Implants
Icon
Invisalign
Porcelain Veneers
Single Visit CEREC Dentistry
Teeth Whitening
Before
After
Loads about Cosmetic Bonding.
Treatments used:
Composite Bonding
Teeth Whitening
Back to Transformations
It’s a Chard life
BIOGRAPHY
The patient journey
APPROACh
Follow: @drsimonchard
As featured in