Dr. Simon Chard
Practice
Treatments
Transformations
Approach
Testimonials
For Dentists
Enquiries
Transformations
Home
/
Transformations
All
White Fillings
Composite Bonding
Aesthetic Crowns
Dental Implants
Icon
Invisalign
Porcelain Veneers
Single Visit CEREC Dentistry
Teeth Whitening
Filters
A
Align
B
Bleach
C
Composite
Treatments
White Fillings
Composite Bonding
Aesthetic Crowns
Dental Implants
Icon
Invisalign
Porcelain Veneers
Single Visit CEREC Dentistry
Teeth Whitening
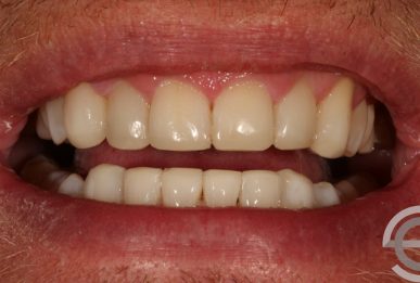
Custom finish Crown
learn more
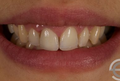
Cosmetic Bonding
learn more
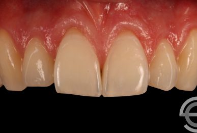
Tooth Whitening and Cosmetic Bonding
learn more
Tooth Whitening and Icon White Spot Treatment
learn more
Tooth whitening and Icon
learn more
Same Day Smile – Full Implant Bridges
learn more
1
2
…
5
Next
It’s a Chard life
BIOGRAPHY
The patient journey
APPROACh
Follow: @drsimonchard
As featured in