Dr. Simon Chard
Practice
Treatments
Transformations
Approach
Testimonials
For Dentists
Enquiries
Icon
Home
/
Transformations
/
Icon
All
White Fillings
Composite Bonding
Aesthetic Crowns
Dental Implants
Icon
Invisalign
Porcelain Veneers
Single Visit CEREC Dentistry
Teeth Whitening
Treatments
White Fillings
Composite Bonding
Aesthetic Crowns
Dental Implants
Icon
Invisalign
Porcelain Veneers
Single Visit CEREC Dentistry
Teeth Whitening
Tooth Whitening and Icon White Spot Treatment
learn more
Tooth whitening and Icon
learn more
Icon White Spot Treatment and Tooth Whitening
learn more
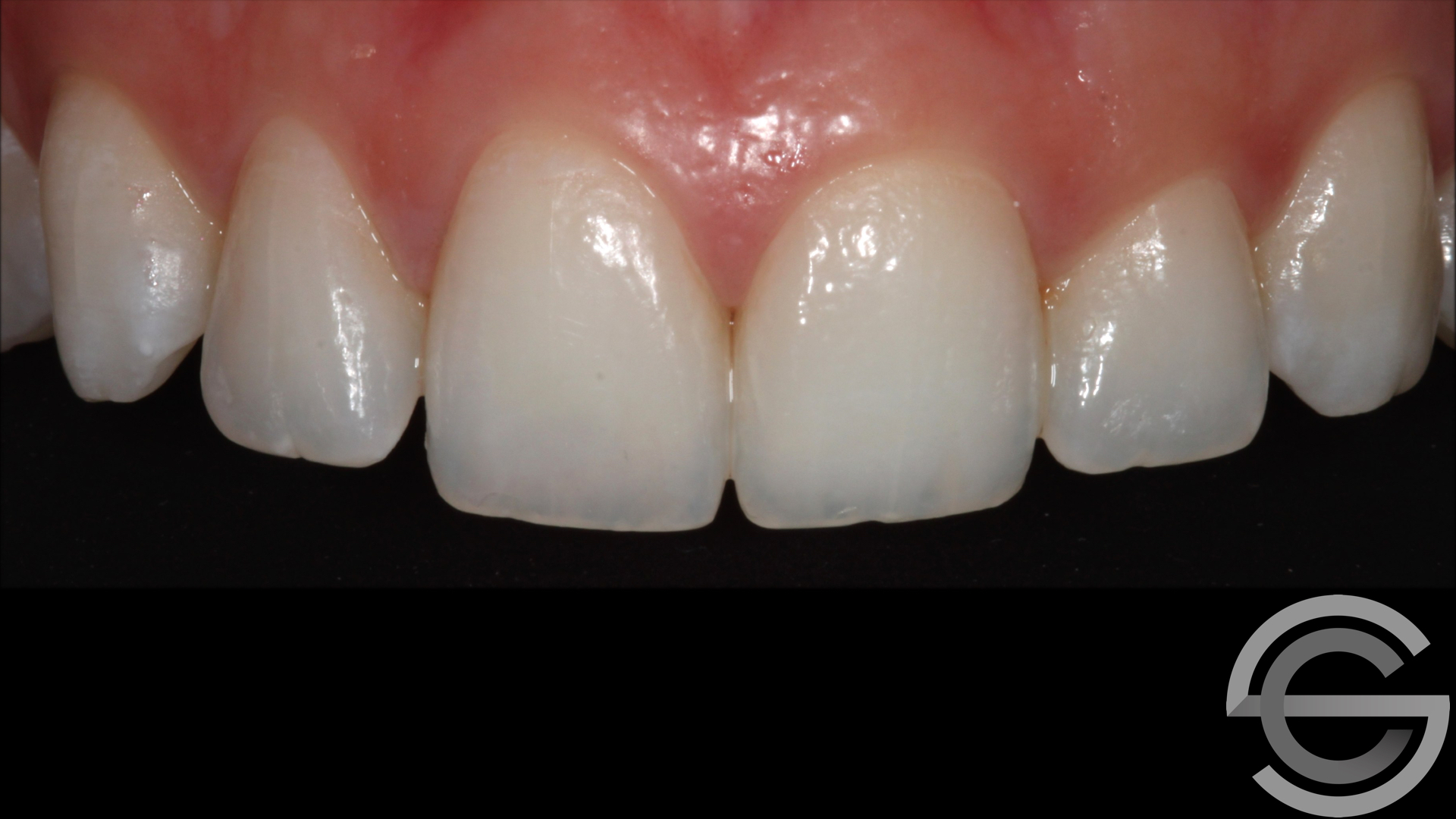
Icon White Spot Treatment
learn more
Icon white spot treatment
learn more
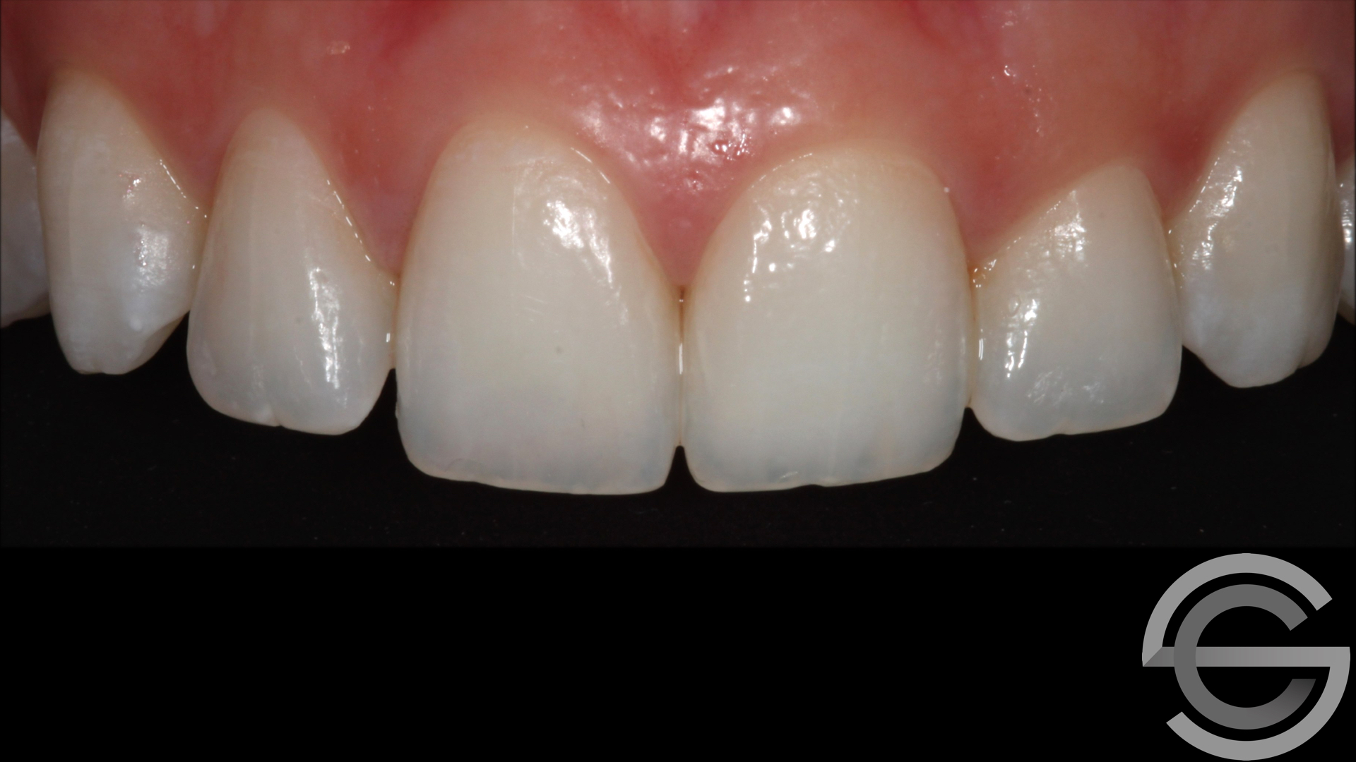
Icon White Spot Treatment
learn more
Icon White Spot Treatment
learn more
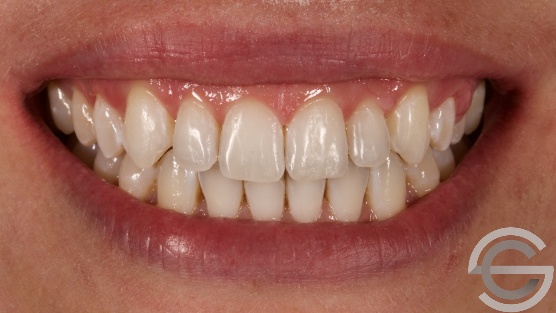
Tooth Whitening and Icon Treatment
learn more
Icon White Spot Treatment
learn more
Follow: @drsimonchard
As featured in