Dr. Simon Chard
Practice
Treatments
Transformations
Approach
Testimonials
For Dentists
Enquiries
Transformation
Home
/
Transformations
/
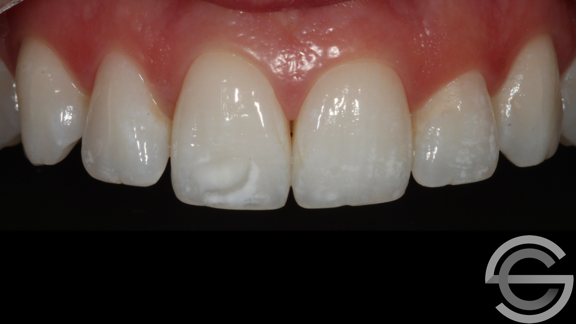
Icon White Spot Treatment
All
White Fillings
Composite Bonding
Aesthetic Crowns
Dental Implants
Icon
Invisalign
Porcelain Veneers
Single Visit CEREC Dentistry
Teeth Whitening
Before
After
White spots vanish without the need for drills or injections.
Treatments used:
Icon
Back to Transformations
It’s a Chard life
BIOGRAPHY
The patient journey
APPROACh
Follow: @drsimonchard
As featured in