transformation brfore

Before

transformation inners after

After

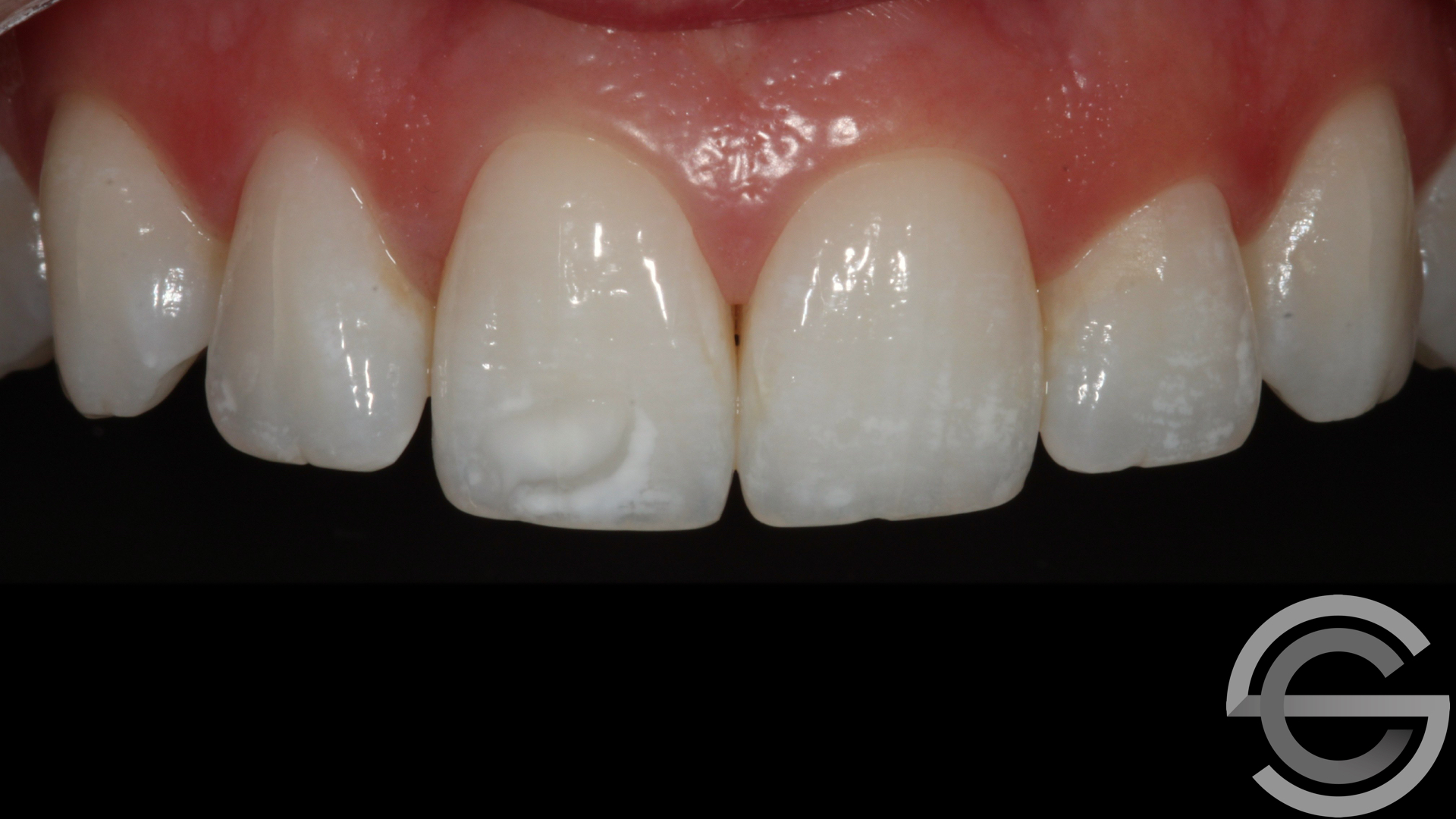
Camilla’s white spots on her front teeth had always bothered her, she had thought about veneers to get rid of them but Dr Simon advised her on Icon treatment. Icon requires no drilling or injections. Purely infiltration of composite resin into the teeth to change the way the light bounces around inside them, thus making them invisible! She was thrilled with her new smile!

Treatments used:

Back to Transformations
enquer thumb1

It’s a Chard life

BIOGRAPHY

enquer thumb1

The patient journey

APPROACh