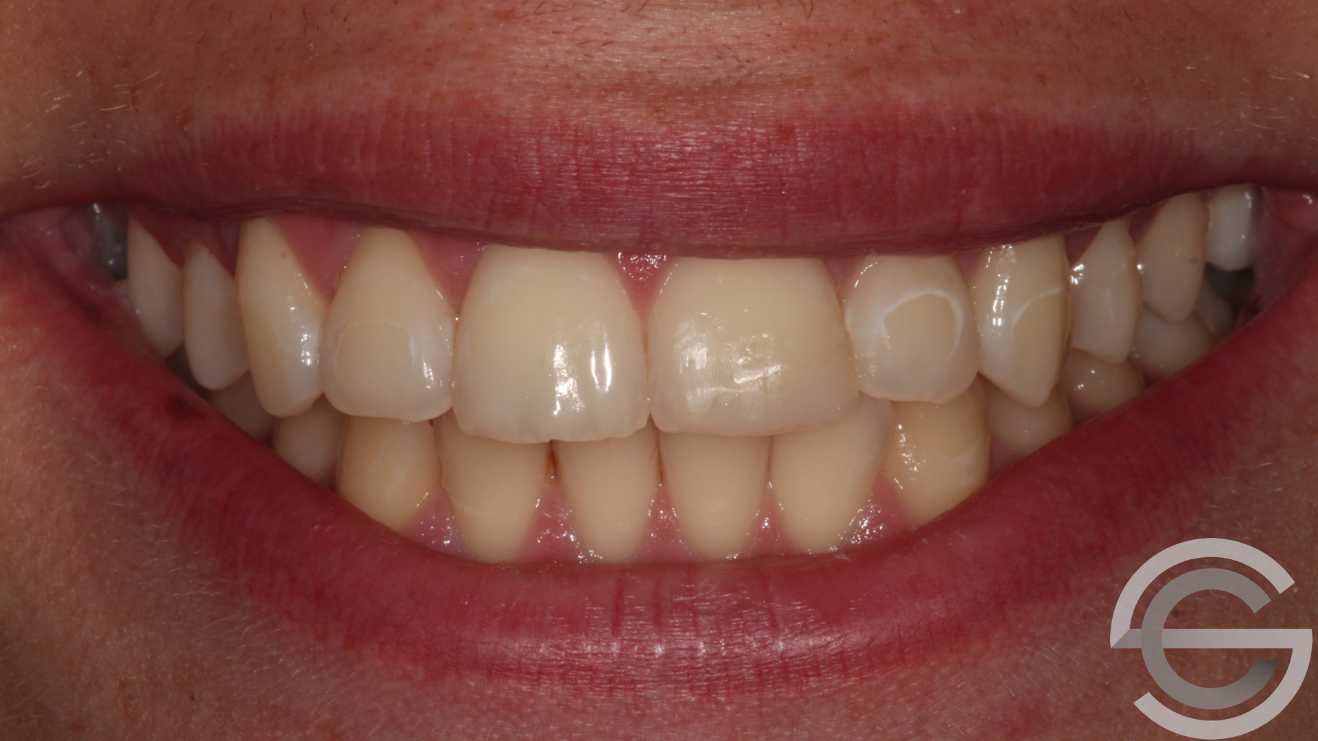
Alex had 2 weeks of tooth whitening, followed by Icon white spot treatment and replacement of his old cosmetic bonding. A brilliant minimally invasive smile improvement!
Alex had 2 weeks of tooth whitening, followed by Icon white spot treatment and replacement of his old cosmetic bonding. A brilliant minimally invasive smile improvement!