transformation brfore

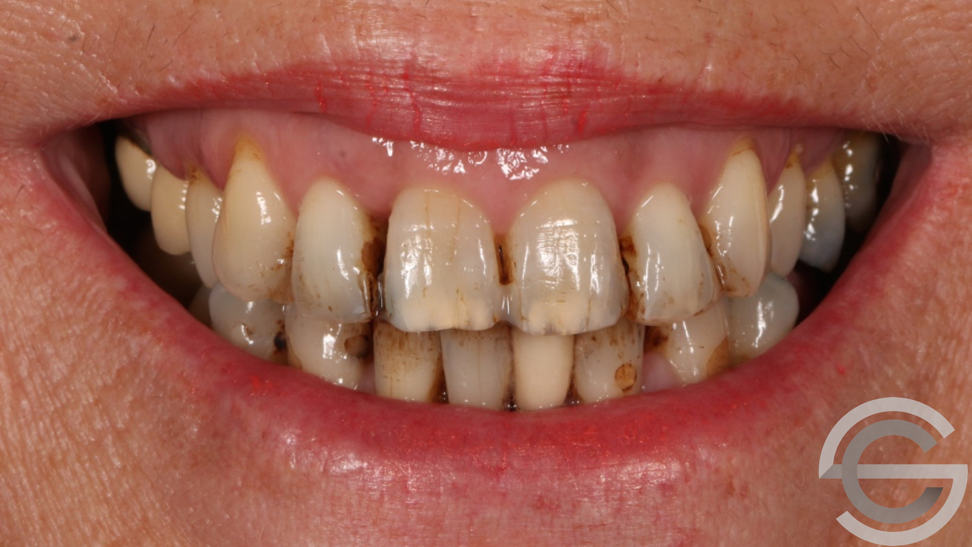
Before

transformation inners after

After

Hazel presented to see Dr Simon very unhappy with her smile for many years. Unfortunately, Hazel’s teeth had a hopeless prognosis and were replaced with implant retained bridges on the same day. Hazel was thrilled with her new smile and she has recorded a video testimonial in Simon’s testimonial area.

Treatments used:

Back to Transformations
enquer thumb1

It’s a Chard life

BIOGRAPHY

enquer thumb1

The patient journey

APPROACh