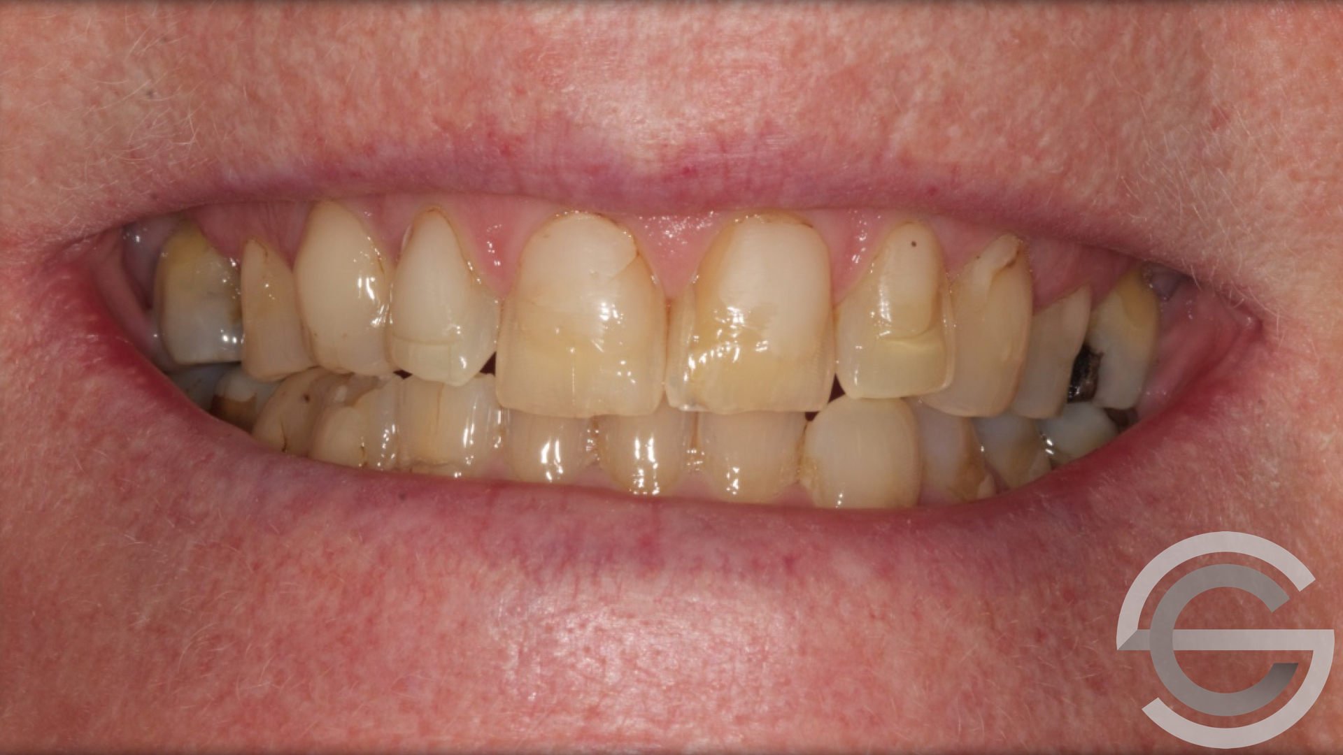
Minimally invasive porcelain veneers to provide the beautiful smile Sally had always dreamed of.
BIOGRAPHY
APPROACh