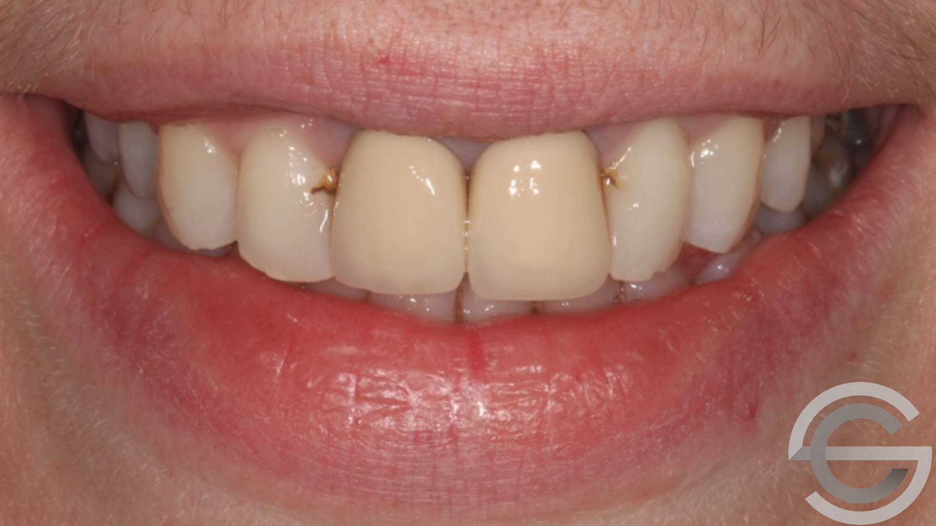
Ciara had always hated her front metal based crowns. She had two weeks of tooth whitening followed by two new all ceramic crowns matched to the new colour of her teeth.
Ciara had always hated her front metal based crowns. She had two weeks of tooth whitening followed by two new all ceramic crowns matched to the new colour of her teeth.