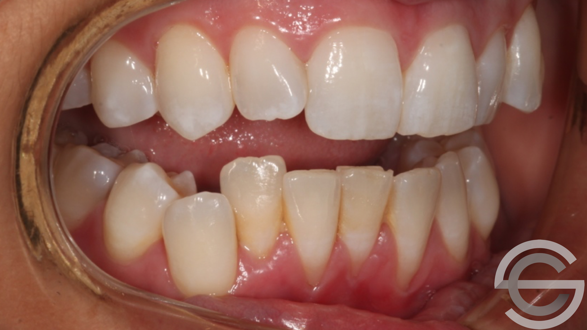
Lori was unhappy with he crooked front teeth. She elected to have 12 months of Invisalign treatment and tooth whitening with Dr Simon and is now super happy with her beautiful new straight smile.
Lori was unhappy with he crooked front teeth. She elected to have 12 months of Invisalign treatment and tooth whitening with Dr Simon and is now super happy with her beautiful new straight smile.