Dr. Simon Chard
Practice
Treatments
Transformations
Approach
Testimonials
For Dentists
Enquiries
Transformations
Home
/
Transformations
All
White Fillings
Composite Bonding
Aesthetic Crowns
Dental Implants
Icon
Invisalign
Porcelain Veneers
Single Visit CEREC Dentistry
Teeth Whitening
Filters
A
Align
B
Bleach
C
Composite
Treatments
White Fillings
Composite Bonding
Aesthetic Crowns
Dental Implants
Icon
Invisalign
Porcelain Veneers
Single Visit CEREC Dentistry
Teeth Whitening
Cosmetic White Filling
learn more
Tooth whitening and Invisalign
learn more
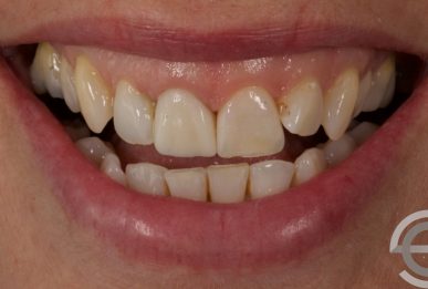
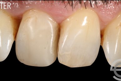
Beautiful CEREC Porcelain Crown in a single visit
learn more
Icon white spot treatment
learn more
Invisalign and Tooth Whitening
learn more
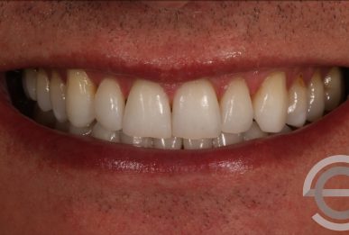
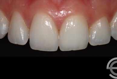
Tooth Whitening and Cosmetic Bonding
learn more
Previous
1
2
3
4
5
Next
It’s a Chard life
BIOGRAPHY
The patient journey
APPROACh
Follow: @drsimonchard
As featured in